Hemophagocytic lymphohistiocytosis (HLH) is a life-threatening hyper inflammatory process caused by extensive immune activation and characterized by multi organ dysfunction. During COVID-19 pandemic secondary hemophagocytic lymphohistiocytosis has been reported in acute phase of COVID-19 infection, but HLH in recovered post-COVID-19 patients is rare. We report a case of HLH following of COVID infection.
Case Description:
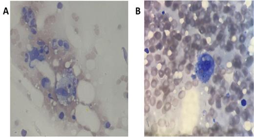
72-year-old female with well-controlled rheumatoid arthritis and COVID infection 2 months prior presented with progressive shortness of breath. She was diagnosed with acute on chronic heart failure, acute kidney injury, worsening anemia and thrombocytopenia. She progressively got worse during hospitalization and on day 9 developed fever and multiorgan failure (pancytopenia, acute liver injury, respiratory failure requiring mechanical ventilation, renal failure requiring hemodialysis). Labs included hemoglobin of 7.9 g/dL, platelets 50 Th/uL, ANC 1.38 Th/uL, LDH 6000 IU/L, ferritin >10,000 ng/ml, fibrinogen 136 mg/dL, triglycerides 656 mg/dL. HLH was suspected and a bone marrow biopsy showed occasional macrophages with hemophagocytosis without evidence of lymphoproliferative disorder (Figure 1). Interleukin-2 receptor soluble was elevated at 57026.9 pg/mL.
HLH diagnosis was established, and patient was started on HLH-94 protocol with etoposide and dexamethasone. She improved quickly with treatment and was extubated in a few days. After 4 weeks, there was continued clinical improvement with improving liver function, LDH was down to 373, ferritin 3586 but she remained cytopenic needing transfusion support. By week 6, she was off dialysis and repeat Interleukin-2 receptor soluble was 2500 pg/ml and ferritin was 2500 ng/ml. A positron emission tomography (PET) scan did not show any evidence of lymphoma. Patient was not considered to be suitable candidate for stem cell transplant and was monitored. Within 6-8 weeks, she was noted to have worsening LDH, ferritin, liver function and patient was started on ruxolitinib 5 mg twice a day and dexamethasone 2 mg daily. Patient continued to have worsening anemia, thrombocytopenia, LDH and ferritin. Patient was readmitted around week 6 of ruxolitinib treatment with progressive shortness of breath. Patient was re-treated with dexamethasone and etoposide. On day 10 of 2nd hospitalization, she developed acute respiratory failure needing mechanical ventilation and was diagnosed with abdominal viscus perforation. After discussion with family, she was transitioned to best supportive care given poor prognosis.
Discussion:
Few cases of HLH in post-covid-19 patients have been reported in the literature, but this entity may be likely under diagnosed given the delayed presentation, absence of definitive clinical, laboratory, or histopathological criteria.
Immune dysregulation and macrophage activation due to subclinical inflammation following post-COVID-19 infection is postulated to underlie the pathogenesis of HLH in post-COVID-19 patients. The hyperinflammatory situation results in multi-organ failure and high mortality rates. The HLH2004 has been recommended as the diagnostic criteria of choice for HLH among post-COVID-19 patients.
Immunosuppressive therapies with steroids, and etoposide are the conventional first-line agents based on the HLH94 protocol; however, refractory cases have been shown to respond to other immunosuppressive agents and biologics including ruxolitinib, alemtuzumab, and emapalumab.
Figure 1: A. Hemophagocytosis (Macrophage ingesting lymphocyte) B. Hemophagocytosis, more specifically-erythrophagocytosis (macrophage ingesting red blood cell).
Disclosures
Godara:Janssen: Honoraria.
